歯周病治療(予防、外科) - 北綾瀬駅近くの歯医者さん 石谷歯科医院【公式】
- トップページ
- » 一般歯科
- » 歯周病治療(予防、外科)
歯周病治療について
歯周病治療の予防処置について
歯周病・虫歯にかかわらず、罹ってしまったら「まず予防」することが重要なのは、重ねてご説明したとおりです。
歯ブラシ指導、歯石の除去などの予防処置は一般に「初期治療」と言われています。
読んで字のごとく治療の初期に行う行為ですが、これは「再発の防止」という別の大きな目的も持っています。
従って、この「初期治療」をおろそかにしては、その後のどんな治療法も有効になり得ません。
歯周病予防症例
予防処置のみで歯周病が完治した症例をご紹介いたします。 歯周病が進行して歯周ポケットが6mm以上ある方でも、歯周組織の反応のよい方は予防処置のみで治療が可能な場合もあります。まずはご相談下さい。
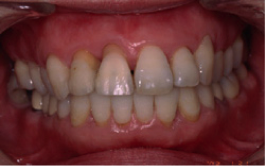
【女性(初診時37歳)非喫煙者】
全体的に6mm程度の歯周ポケットがあり、歯肉からの出血もひどく、冷たい水がしみる状態でした。
 
約4ヶ月にわたる初期治療の結果、写真のように健康な歯周組織に回復しました。歯周ポケットはほぼ3mm以内です。この後、さらなる予防のために歯並び矯正治療を行いました。
 
術後の状態です。歯並びもよくなり、患者さんも満足されました。
 
>>>歯周病の予防処置「メンテナンス(PMTC)」ついてはこちら
当院の歯周病治療(外科処置)
歯周病の初期治療が終わってもなお、歯周ポケットが存在する場合が少なくありません。
歯周ポケットが深い場合はポケット内の歯石が取りきれていなかったり、歯の周りの骨が部分的に溶けていたりするのです。
そのような場合は歯周外科処置をお勧めします。
歯周外科により病的な歯肉と歯石を完全に取り除き、凸凹になった歯槽骨を整えることで歯周病の完全な治癒を目指し、ひいてはメンテナンスしやすくするのです。
術後の腫れや痛みはそれほど気になるものではありません。
また、最近マスコミ等でも大きく取り上げられ、当医院でも症例が増えているのが「歯周組織再生療法」です。
これは従来の外科処置では難しかった、失われた歯周組織(骨など)を再生しようとする目的の処置法です。
歯周組織再生療法について
従来の外科処置の場合歯周ポケットの減少がその主目的であったので、失われた歯周組織(骨など)を回復するのは難しく術後に歯肉が下がるなど必ずしも満足がいただける治療法ではなかったことも確かです。
まだ症例は限られますが、当医院では条件が合致した方には歯周組織再生療法を積極的に行っており、
多くの方にご満足いただいております。
具体的には
- エムドゲイン・ゲルを塗布する方法
- GTR膜を設置する方法
- 自家骨を移植する方法
の3つの方法があり、それを適宜組み合わせて行っております。
なお、歯周組織再生療法は¥77,000 + 材料費(消費税別途)となります。
歯周組織再生療法(症例)
【女性(初診時37歳)非喫煙者】
本症例では上記の歯周組織再生療法3つ全て行いました。右上臼歯部に矢印のような深い骨欠損(骨が溶けた部分)があり、歯周ポケットも8mmとかなり深いです。

 
下の写真の上に見えるのが自家骨と抗生物質を混ぜたもの、したに見える注射器に入ったものがエムドゲイン・ゲルです。エムドゲイン・ゲルは根の表面に塗布し、自家骨は骨が溶けて凹んだ部分に詰めます。その後GTR膜(白い部分)を設置して歯肉弁を元の位置に戻し、縫合します。
術後約2ヶ月の状態です。術前と比べるとやや歯肉が凹んだ感じがありますが、時間の経過とともに徐々に目立たなくなっていきます。また、エムドゲイン・ゲルを使用した手術は、従来の方法と比べると、術後の治りも早いように感じています。痛みもほとんどありません。

 
術前と術後のレントゲン写真の比較です。骨欠損がほとんど目立たなくなっています。歯周ポケットも3mm以下になりました。なお、歯周組織再生療法は¥77,000 + 材料費となります。

 
PRGF-Endoretを用いた再生療法を始めました。
詳細はこちら >>> 「PRGF-Endoretについて」
自費診療費について
歯周病細菌検査
| 歯周病細菌検査(4菌種) | ¥25,300 | 
|---|
歯周外科治療
| 歯周組織再生療法(4歯程度まで) | ¥88,000 | 
|---|---|
| 材料代は別途 | 例 PRGF ¥22,000~ | 
※すべて消費税込みの金額となります。
