歯周形成外科 - 北綾瀬駅近くの歯医者さん 石谷歯科医院【公式】
- トップページ
- » 一般歯科
- » 歯周形成外科
歯周形成外科
「歯周形成外科」とは?
歯周組織の問題は歯周ポケットや歯槽骨の喪失だけではありません。
日本人の多くは歯肉が薄く、またその下の骨(歯槽骨)も薄い人が多いといわれています。
実際臨床の現場で観察すると、確かにそのような傾向が見られます。
そのような人はちょっとしたことで歯肉が下がりやすく、一度下がった歯肉は元通りになることはありません。
これらは見た目が悪いといった審美的な問題だけでなく、冷たいものがしみる、虫歯になりやすいなど機能的な問題も抱えています。
また、口蓋に見られる比較的硬い歯肉(「角化歯肉」といいます)は熱や硬い食物に対して抵抗性を持っています。
角化歯肉は歯の周りにも見られますが、それが元々少ない人もいます。
これらは必ず障害になるわけではありませんが、歯ブラシで傷が付きやすく痛くて歯が磨きづらいなど、間接的な問題となることがあります。
これら歯肉-歯槽粘膜の問題を解決する方法が「歯周形成外科」です。
当院の歯周形成外科について
角化歯肉はないところにいきなり増やすことはできません。
方法としては、
- 周りの角化歯肉を少しずつ寄せる
- 豊富にある部分(多くは口蓋)から移植する
上記の方法となります。
また、差し歯など被せて治す場合も、角化歯肉が多い方が、少ない場合に比べて予後がよいとされています。
当医院ではこれらの問題のある箇所に積極的に形成外科を行っているわけではありませんが、患者さんからのニーズが多様化した現在ではそれらに応えられるようにしていこうと思っています。
お悩みの方は一度当院までご相談ください。
歯周形成外科症例ー生活歯への根面被覆(結合組織移植)
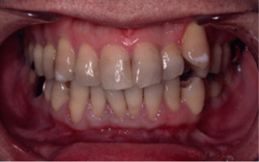
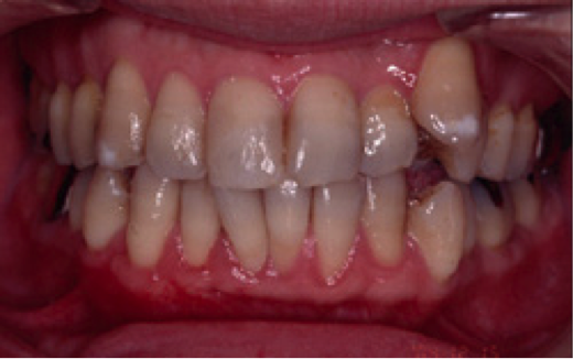
【男性(初診時38歳)非喫煙者】
歯肉が全体的に下がっていることを主訴に来院されました。特にひどいのが右下の犬歯付近で、ここについては手術を受けてでも治したいとのことでした。このような状態を歯肉退縮と呼びますが、原因は大きく分けて二つ考えられます。一つは強く歯を磨きすぎること、もう一つは歯ぎしりなどの噛み合わせの不具合です。必ず事前の診査により原因を除去しておかないと、手術をして元通りになったとしても、またすぐに下がってしまいます。この症例では口蓋より結合組織を採取し、右下犬歯の部分に移植しました。

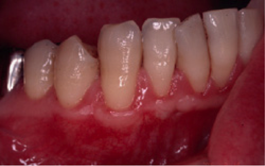
下は術後の状態です。術中の写真は痛々しいので割愛させていただきました。

